- 2026年3月10日
- 2026年3月12日
手指のしびれ痛み
いとうペインクリニックの院長の伊藤です。今回は、手指のしびれ・痛みについての話をしようと思います。外傷でない手のしびれや痛みを訴える患者が、ペインクリニックに来院される患者さんは、少なくないです。中でも頻度の高い、「手根管症候群」、「肘部管症候群」、「ばね指」と「ドケルバン病」について、症状と当院での内科的な治療、整形外科に紹介するタイミングについて述べます。
手根管症候群
症状
正中神経支配領域である母指から環指撓側(母指側)のしびれや感覚障害があり,特徴的なのは夜間就寝時や早朝に出現する痛みで,手を振りたくなると表現されることが多いです。進行すると母指球筋の萎縮がみられ,日常生活では箸の使用,小さいものをつまむ、ボタンかけなどの細かい動作が難しくなります。
中高年女性に多く,原因としては手の使いすぎや妊娠・閉経などの特発性が多いとされています。
診断
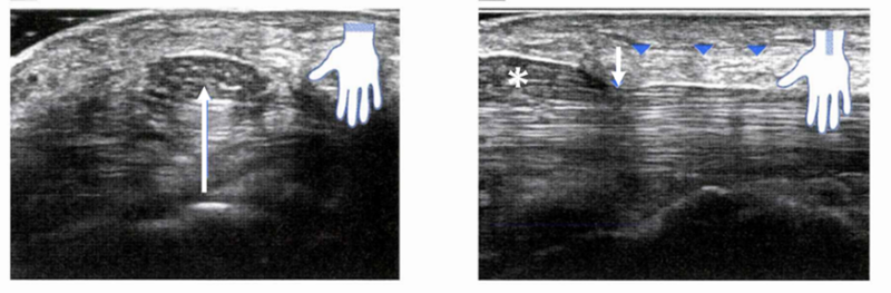
手根管でのティネル徴候(陽性:手首を叩くと末梢にしびれや痛みがひびく)や
ファーレンテスト(陽性:手関節屈曲位を保つと1分以内に症状が悪化する)などの所見は診断に役立ちますが、必ずしも陽性になるとは限りません。超音波エコー(以下エコーと略す)では、手根管に短軸(手首のしわに平行)でプローブ(肌に直接接触させ、内部構造をみるためのエコーの装置の部品)を当てると、正中神経の腫大(偽神経腫と言う)があると、低エコー(黒っぽい色)が腫大しているのが認められることがあります。ドプラ法(血流をみる方法)を用いると正中神経の奥にある屈筋腱周囲に血流信号がみられることがあり,その場合は、屈筋腱滑膜炎を示唆します。
神経の長軸(指先から肘のラインに平行な軸)での描出においては、圧迫部位が明らかになることもあります。


左図は、手首のしわに沿ってエコーをあてた画像になりますが、正中神経は腫大し、低エコーを呈しています(白矢印)。右図は指先から肘の方向にエコーをあてた画像になりますが、手根靭帯で神経が圧迫され(白矢印)、腫大(*偽神経腫)を認めます。
但し、必ずしも、エコーで正中神経の圧迫が認められるわけではありません。
治療
安静:生活の中で使用する頻度を下けるように指導しますが、使わない=曲げ伸ばしをしないと拘縮してしまうことがありますので過度な安静は禁物です。ストレッチも重要です。ROM訓練(反対の手を使って関節他動訓練を積極的に行うこと)を推奨しています。
非ステロイド性抗炎症薬(non-steroidal anti-inflammatory drugs:NSAIDs):塗布薬、貼付剤や内服薬処方
ステロイド注射:ステロイド注射に関しては,有効性が高い報告が多いですが、屈筋腱の皮下断裂や腱の脆弱化などのリスクがある為、3回までの施行としています。
それでも改善が得られない場合は,手術治療をお勧めしています。
診察時にPIP関節の可動域を確認し,拘縮が進んでいくようなら早期に手術の紹介をします。指が屈曲した状態でロックされて伸びない場合も手術適応です。
手根管内のステロイド注射が効果的であることが多く、当クリニックでは,エコーガイドドに手首皮線レベルの短軸で正中神経を確認し,神経を損傷しないように注射を行っています。
保存的療法が無効な場合、注射後すぐに再発するものや母指球筋の萎縮がみられるもの、手根管内に腫瘤がみられるものは手術適応となるため専門医に紹介します。
肘部管症候群
症状
尺骨神経支配領域の小指と環指の尺側(小指側)のしびれや感覚障害を認めます。進行すると背側骨問筋や小指球筋の萎縮が出現し、環指や小指のかぎ爪指変形が出現します。

診断
肘内側のティネル徴候陽性:打腱器でたたくとしびれが増強する。
肘屈曲テスト陽性:肘を屈曲位に保ち、尺骨神経を伸展させると環・小指のしびれや痛みが増強する。
しびれや痛みの箇所を確認:肘部管症候群の場合、しびれや痛みの場所は、肘より前腕手指にかけてのしびれや痛みです。頚椎症性神経根症による尺骨神経領域である環・小指のしびれや痛みもありますが、頸部や上肢のしびれがあるかなどの有無で診断しています。

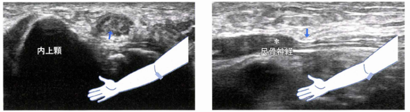
尺骨神経は腫大し,低エコーを呈している(→) オズホーンバンドで神経が圧迫され(→)、その中枢の腫大(*:偽神経腫)を認める
必ずしも、エコー上 偽腫瘍などの肥厚が認められるわけではありません。やはり実際の症状をみて、診断することが多いです。
治療
肘屈曲位で症状が出る場合には,肘を屈曲させすぎないよう指導します。肘をついた姿勢もよくありません。サポーターによる肘の固定保護なども指導します。急によくなることはありません。痛みが強い場合は、鎮痛薬を処方します。
症状が改善しない場合、運動麻痺(とくに小指の内転障害)や筋萎縮を認める場合は手術を考慮し専門病院へ紹介します。
ばね指

指が引っかかる感じがすると訴える場合は,ばね指を想定して診断します。また、指を動かすと痛いと訴えられる場合は、ばね指の場合には、指の付け根(A1プーリー部)上図の●部分やPIP関節(親指の場合はIP関節)●に痛みが発生します。ばね指は、母指〉中指・環指〉示指〉小指の順番に発生しやすいとされ、糖尿病・透析患者に多いとされています。


超音波短軸像:中指腱鞘(A1プーリー)の肥厚を認める 超音波長軸像:腱鞘(A1プーリー)が屈筋腱に食い込んでいる。
保存治療指
安静:生活の中で使用する頻度を下けるように指導しますが、使わない=曲げ伸ばしをしないとなり拘縮してしまうことがありますので過度な安静は禁物です。ストレッチも重要です。ROM訓練(反対の手を使って関節他動訓練を積極的に行うこと)を推奨しています。
非ステロイド性抗炎症薬(NSAIDs):塗布薬、貼付剤や内服薬
ステロイド注射:ステロイド注射に関しては,有効性が高い報告が多いですが、屈筋腱の皮下断裂や腱の脆弱化などのリスクがある為、3回までの施行としています。
それでも改善が得られない場合は,手術治療をお勧めしています。
診察時にPIP関節(母指はIP関節)の可動域を確認し,拘縮が進んでいくようなら早期に手術の紹介をします。指が屈曲した状態でロックされて伸びない場合も手術適応です。
ドケルバン病
症状
手関節僥側(親指側の手首)の疼痛がみられますが、ペットボトルのふたを開けるのが痛くて困難などの訴えが多いです。スマホの使い過ぎなどでも発生します。

手関節僥側(親指側)の背側(手の甲側)区画の腱鞘炎ですが、腱鞘内で長母指外転筋腱(APL)と短母指伸筋腱(EPB)の間に隔壁が存在することがあり、その場合に腱鞘内の断面積が小さくなるため炎症をより起こしやすいと考えられています。
診断
手関節の撓側側(親指の付け根のあたり)の圧痛とフィンケルシュタインテスト陽性(検者が母指を尺側に牽引したときに疾痛が誘発される)で診断しています。疾痛が強い症例には,エコーにて炎症(血流)の有無を確認できます。

腱鞘の部位に血流(炎症所見)を認めている。↓
治療
保存的療法としては、ばね指の治療と同様に行っています。エコーを用いた腱鞘内ステロイド投与は有効です。
短期間での疼痛の再発の場合は、手術を考慮して近隣の専門病院へ紹介します。
参考文献・図引用文献(一部変更)
・治療 Vol.97, No.5 2015.5 手指のしびれ・痛み 中島祐子 砂川 融
・No.5231 2024.7.27日本医事新報 骨折ファーストタッチ 第32回 指が引っかかります ばね指 海透優太(JCHO若狭高浜病院整形外科医長/臨床研修センター)
・Loco Cure Vol.1 no.1 ばね指の治療法 東京大学医学部附属病院整形外科・脊椎琳斗宮本英明

いとうペインクリニックは、あなたの痛みに心から寄り添い、快適な毎日を取り戻すためのお手伝いをさせていただきます。