- 2026年4月22日
足のねん挫について
いとうペインクリニックの院長の伊藤です。足の捻挫や骨折に対しての整復・固定術は、当ペインクリニック内科では行っていません。整形外科の治療となります。
ただし、ねん挫後の痛みで当院に来院される方もおられますので、今回は、足のねん挫についての話をします。
足関節について
足関節はいわゆる“足首”にあたる関節で、内側(母趾側)は、すねを含む脛骨で、体重を支える太い骨です。外側(小趾側)は外くるぶし(外果)を含む腓骨があり、脛骨と腓骨の間に距骨がありこれら3 つの骨から構成されています。(下図)

足部捻挫について
スポーツ活動で頻繁に発生し,さまざまな靱帯損傷を伴います。回外捻挫は足関節外側靱帯(特に前距腓靱帯・踵腓靱帯)の損傷を引き起こしやすく、一方、回内捻挫では三角靱帯や遠位脛腓靱帯が損傷しやすいとされています。


図2 MB Orthop. 38(5):55—64,2025大人とこどものスポーツ外来 下肢編【こども編】小児アスリートの足関節・足部捻挫に対する外来診療 田中 博史 より抜粋
図3 整形外科Surgical Technique vol.12 no.6 2022 104-110 足の捻挫で起こること 治療戦略と手術テクニック⑤ 足関節内側靱帯損傷 天羽健太郎 より抜粋

(図4)MB Orthop. 38(5):140—147,2025大人とこどものスポーツ外来 下肢編
【大人編】成人アスリートの足関節・足部捻挫 寺本 篤史 より抜粋一部変更
最も頻度の高い回外捻挫
底屈,内転,内がえしからなる複合運動の負荷によって生じます。足関節の外側靱帯損傷が発生しやすいですが、特に前距腓靱帯と踵腓靱帯が損傷しやすいとされています。




(図2)・(図5)MB Orthop. 38(5):55—64,2025大人とこどものスポーツ外来 下肢編【こども編】小児アスリートの足関節・足部捻挫に対する外来診療 田中 博史 より抜粋
(図6) MB OrthoD.30(10):249-254.2017,特集:ポイント解説整形外科診断の基本知識 皿.下肢疾患 足関節捻挫,足・足関節外傷の診断 平野貴章 より抜粋一部変更
(図7) MB Orthop. 38(9):41—51,2025 特集: 足部・足関節の外来診療―保存治療と手術適応の見極め 足関節外側靱帯損傷―外来診療から治療まで 田中 博史
腓骨筋腱脱臼や二分靱帯損傷,リスフラン靱帯損傷が生じることもあります。


(図9)二分靭帯損傷写真

図8:腓骨筋腱脱臼により長腓骨筋腱が外果に乗り上げている。赤→
図6・9:踵骨前方突起骨折は二分靱帯の踵骨付着部の裂離骨折である。
図10:リスフラン靱帯損傷により第一と第二中足骨基部に乖離が認められる。赤○
(図8) 整形外科Surgical Technique vol.13 no.2 2023 118―124足の捻挫で起こること 治療戦略と手術テクニック⑦ 腓骨筋腱脱臼 日尾有宏より抜粋
(図9) 関節外科 Vol.33 No.1(2014)81-87足部・足関節捻挫の治療 新鮮二分靱帯損傷ならびに足根洞周囲の靱帯損傷の 病態とスポーツ復帰までの治療 嶋 洋明 奥田龍三 より抜粋一部変更
(図10) MB OrthoD.30(10):249-254.2017,特集:ポイント解説整形外科診断の基本知識 皿.下肢疾患 足関節捻挫,足・足関節外傷の診断 平野貴章 より抜粋
回内捻挫
三角靱帯や遠位脛腓靱帯が損傷しやすいとされています。


(図11) 整形外科Surgical Technique vol.12 no.6 2022 104-110 足の捻挫で起こること 治療戦略と手術テクニック⑤ 足関節内側靱帯損傷 天羽健太郎 抜粋引用
背屈,外転,外がえしからなる複合運動の負荷によって生じ,三角靱帯(浅層・深層)損傷や遠位脛腓靱帯の前下脛腓靱帯損傷(下図)が発生しやすいです。


(図12) 関節外科 Vol.44 No.1(2025)17-20特集遠位脛腓靱帯損傷の病態と治療 遠位脛腓靱帯断裂の発生機序 原口直樹より抜粋
(図13) 整形外科Surgical Technique vol.12 no.6 2022 104-110 足の捻挫で起こること 治療戦略と手術テクニック⑤ 足関節内側靱帯損傷 天羽健太郎
骨折について
軟部組織の損傷に限らず,足関節果部骨折や距骨骨折,踵骨前方突起骨折,中足骨骨折などが生じることもあります。
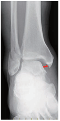
足関節外果裂離骨折について
回外捻挫による外果裂離骨折
初診時は見逃されていたが、7ヵ月目で明らかに外果の裂離骨片が周囲に骨透亮 像を伴ってみえてきています。転移(骨折面が離開している場合)を伴っている場合は手術が考慮されます。

(図14) 整形外科Surgical Technique vol.13 no.1 2023 119-128 足の捻挫で起こること 治療戦略と手術テクニック⑥ 連載プランナー 成長期の足関節外側靱帯損傷 白仁田 厚 より抜粋
遠位脛腓靱帯損傷と骨折について
外転モーメントが優位になると、腓骨骨折の位置が高くなります。


(図15)関節外科 Vol.44 No.1(2025)17-20遠位脛腓靱帯損傷の病態と治療 遠位脛腓靱帯断裂の発生機序 原口直樹 より抜粋引用
(図16) MB Orthop. 38(5):140—147,2025大人とこどものスポーツ外来 下肢編【大人編】成人アスリートの足関節・足部捻挫 寺本 篤史 より抜粋引用

(図17) 関節外科 Vol.44 No.1(2025)18-20遠位脛腓靱帯損傷の病態と治療 遠位脛腓靱帯断裂の発生機序 原口直樹 より抜粋
脛骨遠位骨端線損傷
脛骨遠位骨端線が閉鎖する時期に限定されます。Triplane 骨折は12~15 歳頃に好発する骨折で、脛骨の骨端線の閉鎖時期と閉鎖の仕方に関係しているとされています。


(図18) Triplane 骨折 左 レントゲン 右CT画像
(図18)MB Orthop. 38(5):55—64,2025大人とこどものスポーツ外来 下肢編【こども編】小児アスリートの足関節・足部捻挫に対する外来診療 田中 博史より抜粋

(図19)整形外科Surgical Technique vol.12 no.5 2022 52‐57(604‐609)[手術法] こどもの足関節周囲骨折・ Juvenile Tillaux・Triplane骨折 依光正則 より抜粋一部変更
Triplane 骨折は、Salter-Harris分類ではⅣ型にあてはまります。Ⅲ型は、Tillaux骨折といいます。脛骨遠位端骨折はⅠ/Ⅱ型が50%、Ⅲ型が25%、Ⅳ型が10%の頻度で発生するとされています。手術適応はⅡ~Vで考慮されます。Ⅴは骨端線がつぶれた状態です。
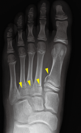
中足骨基部骨折について
黄色矢印部分に骨折線が認められています。

(図20) MB Orthop. 38(5):55—64,2025大人とこどものスポーツ外来 下肢編【こども編】小児アスリートの足関節・足部捻挫に対する外来診療 田中 博史 より抜粋
前方突起骨折について
踵骨前方突起骨折は二分靱帯の踵骨付着部の裂離骨折です。

上図:CT 下図:肉眼

上図:解剖図 下図:肉眼
(図21) MB Orthop. 38(5):55—64,2025大人とこどものスポーツ外来 下肢編【こども編】
小児アスリートの足関節・足部捻挫に対する外来診療 田中 博史 より抜粋
(図22) 関節外科 Vol.33 No.1(2014)81-87足部・足関節捻挫の治療 新鮮二分靱帯損傷ならびに足根洞周囲の靱帯損傷の 病態とスポーツ復帰までの治療 嶋 洋明 奥田龍三 より抜粋一部変更
神経の損傷について
腓腹神経損傷
腓腹神経は足部外側に走行しており、足関節の捻挫で伸長されて損傷するリスクがあります。二分靱帯周囲で腓腹神経に沿った圧痛やTinelʼs sign が陽性で、圧痛部位より足先に向かって知覚鈍麻を認める点が鑑別のポイントです。

青い部分に感覚鈍麻を認めます。Tinel‘ssignは、打腱器でたたくとビーンと響く神経の痛みを訴えるサインのことです。
(図23)MB Orthop. 38(5):55—64,2025大人とこどものスポーツ外来 下肢編
【こども編】小児アスリートの足関節・足部捻挫に対する外来診療 田中 博史 より抜粋
その他の鑑別疾患: 有痛性外脛骨、足根骨癒合症、三角骨障害など特有な疾患が合併していることもあります。

(図24)MB Orthop. 38(5):55—64,2025大人とこどものスポーツ外来 下肢編
【こども編】小児アスリートの足関節・足部捻挫に対する外来診療 田中 博史 より抜粋
診察において
直接的な視診(腫れ、血種、変形の有無)と触診(熱感、疼痛場所、可動性の確認)が大切です。視診では腫脹と皮下出血の有無を確認します。捻挫に伴う靱帯損傷は重症であるほど腫脹が強くなります。外側靱帯損傷の場合は靱帯よりも遠位の踵骨部分に皮下出血が認められることが多く、前下脛腓靱帯損傷では同靱帯直上の足関節前方外側部分に腫脹を認めます。
痛みの場所によって大まかな疾患の鑑別を行い、透視(レントゲン)を用いての関節の不安定さや骨折の有無についての検査を行います。
荷重や歩行ができないほど強い疼痛を伴う場合は重症と考えます。その場合は、靱帯損傷以外の病態(骨折や軟骨損傷)も同時に疑う必要があります。
早期の処置について
外傷の重症度が高いほど,腫れが強く、治療の第一歩として腫れを軽減することが重要です。足関節・足部の外傷における治療の第一段階は,腫脹を悪化させないことです。受傷直後の対応として,RICE処置が推奨されます。RICEはrest(安静)、 icing(冷却)、 compression(圧迫)、 elevation(挙上)の頭文字をとったもので、患部の腫れや疼痛を抑制するための方法です。
骨折は、レントゲンでの判別が難しい場合もあります。骨折についてはCT、MRI画像が役立ちますが、整復・固定の必要ありと判断した場合は、早急に整形外科へ紹介します。

足の捻挫や骨折に対しての整復・固定術は、当ペインクリニック内科では行っていません。整形外科の治療となります。
ペインクリニックは痛みを緩和する科です。痛みは、生活の質に大きな影響を与えます。痛みでお悩みの方は、一度当院にいらしてください。いとうペインクリニックは、あなたの痛みに心から寄り添い、快適な毎日を取り戻すためのお手伝いをさせていただきます。